![]() |
| 張紫陽醫師 Dr, Chang Tzu Yang |
這大概是我當醫師以來最印象深刻的事情之一,這位漂亮的大學生本來開開心心的做完矯正想把門牙弄漂亮一點,所以找了一間診所幫她門牙的貼片,但是結果讓她很心碎。我永遠記得她見到我時候的表情有多心痛。
![]() |
| 張紫陽醫師 Dr, Chang Tzu Yang |
![]() |
| 張紫陽醫師 Dr, Chang Tzu Yang |
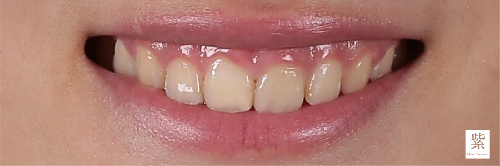
為了要很精準的分析出問題所在,我必須把照片做校正之後然後再做數位分析,這種做法幾乎會用在每一個 “笑容設計”的案例當中。
從分析中我們可以看到圖中:
1.牙齦不一樣高。
2.牙齒顏色不一樣
3.牙齒底部長度不一樣
4.門牙中線歪斜
5.兩顆門牙寬度不一樣
6.整體齒色偏黃
所以綜合以上問題。我們決定對在做貼片前,先進行“牙冠增長術”來讓兩顆門牙的牙齦高度一樣(關於牙冠增長術就找一天介紹吧....)。且同時合併美白來提升整體牙齒的顏色。最後在兩顆門牙都做上新的貼片以改善大小以及寬度的問題。
於是我們在正式動工之前,又另外做了一個小模擬來給她看
![]() |
| 張紫陽醫師 Dr, Chang Tzu Yang |
可以看到上圖是我們實際模擬出來的結果,可以很簡單的看到我們將剛剛提到的問題都一一解決了。這也是 “笑容設計”這個流程很重要的原因。
天呀,好漂亮喔!
聽到她這樣說,其實我很開心,因為這對我來說,是每天進步的動力。
![]() |
| 張紫陽醫師 Dr, Chang Tzu Yang |
關於our style
其實我們一直認為 對大多數人來說,牙齒做到好看的最高境界是:
“好看,但卻看不出來是做的” 這就像化妝一樣。 化到很漂亮,但卻看不出來有化~那種迷濛的美感。至於要如何達到這個效果呢?
我們要從3個方向切入
1.顏色 請看單顆門牙變色 以全瓷冠處理 (1. 牙齒顏色科學化)
2.特徵 請看單顆門牙舊牙冠脫落 以全瓷冠處理 (2. 牙齒的特徵)
3.型態 請看單顆門牙斷裂 以全瓷冠處理 (3. 牙齒的型態)
感謝你耐心的看完我的文章,也希望你能夠有健康且自信的人生。
下一篇預告: 拯救了這個女孩的 “笑容設計” 到底是什麼?! 下一篇揭曉。






0 意見